Water management strategies in anion exchange membrane systems
OCT 27, 20259 MIN READ
Generate Your Research Report Instantly with AI Agent
Patsnap Eureka helps you evaluate technical feasibility & market potential.
AEM Water Management Background and Objectives
Anion Exchange Membrane (AEM) technology has emerged as a promising alternative to traditional proton exchange membrane systems in electrochemical applications. The evolution of AEM technology can be traced back to the early 2000s, with significant advancements occurring in the past decade. Water management within these systems represents one of the most critical aspects affecting performance, durability, and efficiency across applications including fuel cells, electrolyzers, and flow batteries.
The fundamental challenge in AEM systems stems from the inherent contradiction in water requirements: ionic conductivity demands adequate hydration, while excessive water accumulation leads to flooding and performance degradation. This delicate balance has become increasingly important as researchers push for higher current densities and extended operational lifetimes in commercial applications.
Historical approaches to water management in membrane systems have primarily focused on material modifications and system engineering. However, the unique hydroxide transport mechanisms in AEMs, which differ substantially from proton transport in PEMs, necessitate specialized water management strategies. The technical evolution has progressed from basic hydrophilic/hydrophobic treatments to sophisticated multi-functional materials with precisely engineered water transport properties.
Recent technological trends indicate a shift toward integrated approaches that combine advanced membrane chemistry with innovative cell designs. The incorporation of three-dimensional water channels, gradient hydrophilicity, and self-humidifying catalysts represents the cutting edge of current development efforts. These advancements aim to create systems capable of autonomous water balance across varying operational conditions.
The primary technical objectives for AEM water management include: developing membranes with optimized water retention and transport properties; creating electrode structures that facilitate balanced water distribution; engineering system-level solutions for water recovery and redistribution; and establishing predictive models for water behavior under dynamic operating conditions.
Additionally, there is growing recognition of the need for standardized testing protocols to evaluate water management effectiveness across different AEM technologies. This standardization would accelerate development by enabling meaningful comparisons between competing approaches and identifying truly promising innovations.
The ultimate goal of research in this field is to achieve AEM systems with self-regulating water management capabilities that maintain optimal hydration levels regardless of external conditions or operational demands. Success in this endeavor would remove a significant barrier to widespread commercialization of AEM technologies across multiple industries, potentially enabling more cost-effective and environmentally friendly alternatives to current electrochemical systems.
The fundamental challenge in AEM systems stems from the inherent contradiction in water requirements: ionic conductivity demands adequate hydration, while excessive water accumulation leads to flooding and performance degradation. This delicate balance has become increasingly important as researchers push for higher current densities and extended operational lifetimes in commercial applications.
Historical approaches to water management in membrane systems have primarily focused on material modifications and system engineering. However, the unique hydroxide transport mechanisms in AEMs, which differ substantially from proton transport in PEMs, necessitate specialized water management strategies. The technical evolution has progressed from basic hydrophilic/hydrophobic treatments to sophisticated multi-functional materials with precisely engineered water transport properties.
Recent technological trends indicate a shift toward integrated approaches that combine advanced membrane chemistry with innovative cell designs. The incorporation of three-dimensional water channels, gradient hydrophilicity, and self-humidifying catalysts represents the cutting edge of current development efforts. These advancements aim to create systems capable of autonomous water balance across varying operational conditions.
The primary technical objectives for AEM water management include: developing membranes with optimized water retention and transport properties; creating electrode structures that facilitate balanced water distribution; engineering system-level solutions for water recovery and redistribution; and establishing predictive models for water behavior under dynamic operating conditions.
Additionally, there is growing recognition of the need for standardized testing protocols to evaluate water management effectiveness across different AEM technologies. This standardization would accelerate development by enabling meaningful comparisons between competing approaches and identifying truly promising innovations.
The ultimate goal of research in this field is to achieve AEM systems with self-regulating water management capabilities that maintain optimal hydration levels regardless of external conditions or operational demands. Success in this endeavor would remove a significant barrier to widespread commercialization of AEM technologies across multiple industries, potentially enabling more cost-effective and environmentally friendly alternatives to current electrochemical systems.
Market Analysis for AEM Water Management Solutions
The global market for anion exchange membrane (AEM) water management solutions is experiencing significant growth, driven by increasing demand for clean energy technologies and sustainable water treatment systems. Current market valuations indicate that the AEM technology sector is expanding at a compound annual growth rate of approximately 8-10%, with particular acceleration in regions prioritizing green hydrogen production and advanced water purification.
The primary market segments for AEM water management solutions include fuel cell applications, electrolyzers for hydrogen production, desalination systems, and industrial wastewater treatment. Among these, the hydrogen production sector represents the largest market share, accounting for nearly 40% of total demand. This is largely attributed to global initiatives to develop hydrogen-based economies and reduce carbon emissions across industrial processes.
Regional analysis reveals that North America and Europe currently lead in AEM technology adoption, with combined market share exceeding 60%. However, the Asia-Pacific region, particularly China, Japan, and South Korea, is demonstrating the fastest growth trajectory, supported by substantial government investments in clean energy infrastructure and stringent environmental regulations.
Customer segmentation shows three distinct buyer categories: large-scale industrial operations seeking efficiency improvements, research institutions advancing technological capabilities, and government-backed clean energy projects. The industrial segment demonstrates the highest revenue potential, while research institutions drive innovation that expands market applications.
Market barriers include high initial implementation costs, technical challenges related to membrane durability in varied operating conditions, and competition from established alternative technologies such as proton exchange membrane (PEM) systems. The average price premium for AEM solutions compared to conventional technologies remains at 15-25%, though this gap is narrowing as manufacturing scales increase.
Competitive analysis indicates a fragmented market landscape with several specialized technology providers competing alongside diversified industrial conglomerates. Market concentration remains moderate, with the top five players controlling approximately 35% of global market share. Strategic partnerships between technology developers and end-users are becoming increasingly common, accelerating commercialization pathways.
Future market projections suggest that AEM water management solutions will continue to gain traction, with potential market size reaching significant expansion by 2030. Key growth drivers include increasing water scarcity concerns, stricter environmental regulations, and the expanding hydrogen economy. The most promising growth opportunities lie in integrated systems that address multiple challenges simultaneously, such as combined water purification and energy generation solutions.
The primary market segments for AEM water management solutions include fuel cell applications, electrolyzers for hydrogen production, desalination systems, and industrial wastewater treatment. Among these, the hydrogen production sector represents the largest market share, accounting for nearly 40% of total demand. This is largely attributed to global initiatives to develop hydrogen-based economies and reduce carbon emissions across industrial processes.
Regional analysis reveals that North America and Europe currently lead in AEM technology adoption, with combined market share exceeding 60%. However, the Asia-Pacific region, particularly China, Japan, and South Korea, is demonstrating the fastest growth trajectory, supported by substantial government investments in clean energy infrastructure and stringent environmental regulations.
Customer segmentation shows three distinct buyer categories: large-scale industrial operations seeking efficiency improvements, research institutions advancing technological capabilities, and government-backed clean energy projects. The industrial segment demonstrates the highest revenue potential, while research institutions drive innovation that expands market applications.
Market barriers include high initial implementation costs, technical challenges related to membrane durability in varied operating conditions, and competition from established alternative technologies such as proton exchange membrane (PEM) systems. The average price premium for AEM solutions compared to conventional technologies remains at 15-25%, though this gap is narrowing as manufacturing scales increase.
Competitive analysis indicates a fragmented market landscape with several specialized technology providers competing alongside diversified industrial conglomerates. Market concentration remains moderate, with the top five players controlling approximately 35% of global market share. Strategic partnerships between technology developers and end-users are becoming increasingly common, accelerating commercialization pathways.
Future market projections suggest that AEM water management solutions will continue to gain traction, with potential market size reaching significant expansion by 2030. Key growth drivers include increasing water scarcity concerns, stricter environmental regulations, and the expanding hydrogen economy. The most promising growth opportunities lie in integrated systems that address multiple challenges simultaneously, such as combined water purification and energy generation solutions.
Current Challenges in AEM Water Management
Water management in anion exchange membrane (AEM) systems presents significant technical challenges that impede widespread commercial adoption. The primary issue stems from the inherent hydrophobicity of AEM materials, which creates difficulties in maintaining optimal water content for efficient ion transport. Unlike proton exchange membranes, AEMs require precise water balance to facilitate hydroxide ion conductivity without causing excessive swelling or mechanical degradation.
The water-dependent ion conductivity mechanism in AEMs creates a paradoxical requirement: sufficient hydration is necessary for ion transport, yet excessive water uptake leads to dimensional instability and mechanical failure. Current AEM materials struggle to achieve this delicate balance, particularly under variable operating conditions. Temperature fluctuations exacerbate these challenges, as water management becomes increasingly difficult at elevated temperatures where evaporation rates increase.
Another critical challenge is the "water drag" phenomenon, where water molecules are transported along with ions across the membrane, creating hydration gradients that reduce performance over time. This effect is particularly problematic in electrochemical devices like fuel cells and electrolyzers, where maintaining uniform hydration throughout the membrane is crucial for consistent performance and longevity.
The interface between the membrane and electrode layers presents additional water management complications. Poor water distribution at these interfaces creates "dry spots" that increase resistance and accelerate degradation. Current electrode designs and membrane-electrode assembly (MEA) fabrication techniques have not adequately addressed these interfacial water management issues.
Durability concerns related to hydration cycling represent another significant challenge. AEMs typically experience dimensional changes during hydration/dehydration cycles, leading to mechanical stress that compromises long-term stability. This hydration-induced mechanical fatigue accelerates membrane degradation and reduces system lifetime.
From an engineering perspective, existing water management strategies often rely on complex humidification systems that increase parasitic power consumption, system complexity, and cost. These auxiliary systems reduce overall efficiency and present reliability concerns, particularly for portable or remote applications where simplicity and robustness are paramount.
Finally, there is a fundamental knowledge gap in understanding the microscopic water transport mechanisms within AEM structures. The complex interplay between polymer chemistry, morphology, and water transport pathways remains insufficiently characterized, hampering the development of rational design principles for next-generation AEM materials with improved water management capabilities.
The water-dependent ion conductivity mechanism in AEMs creates a paradoxical requirement: sufficient hydration is necessary for ion transport, yet excessive water uptake leads to dimensional instability and mechanical failure. Current AEM materials struggle to achieve this delicate balance, particularly under variable operating conditions. Temperature fluctuations exacerbate these challenges, as water management becomes increasingly difficult at elevated temperatures where evaporation rates increase.
Another critical challenge is the "water drag" phenomenon, where water molecules are transported along with ions across the membrane, creating hydration gradients that reduce performance over time. This effect is particularly problematic in electrochemical devices like fuel cells and electrolyzers, where maintaining uniform hydration throughout the membrane is crucial for consistent performance and longevity.
The interface between the membrane and electrode layers presents additional water management complications. Poor water distribution at these interfaces creates "dry spots" that increase resistance and accelerate degradation. Current electrode designs and membrane-electrode assembly (MEA) fabrication techniques have not adequately addressed these interfacial water management issues.
Durability concerns related to hydration cycling represent another significant challenge. AEMs typically experience dimensional changes during hydration/dehydration cycles, leading to mechanical stress that compromises long-term stability. This hydration-induced mechanical fatigue accelerates membrane degradation and reduces system lifetime.
From an engineering perspective, existing water management strategies often rely on complex humidification systems that increase parasitic power consumption, system complexity, and cost. These auxiliary systems reduce overall efficiency and present reliability concerns, particularly for portable or remote applications where simplicity and robustness are paramount.
Finally, there is a fundamental knowledge gap in understanding the microscopic water transport mechanisms within AEM structures. The complex interplay between polymer chemistry, morphology, and water transport pathways remains insufficiently characterized, hampering the development of rational design principles for next-generation AEM materials with improved water management capabilities.
Current Water Management Strategies for AEM Systems
01 Membrane design for water management
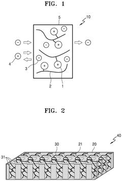
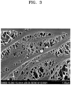
Anion exchange membranes can be designed with specific structures and materials to optimize water management. These designs may include hydrophilic/hydrophobic balance adjustments, pore structure optimization, and incorporation of water retention layers. Such membrane designs help maintain proper hydration levels while preventing excessive water accumulation or dehydration, which is crucial for maintaining ion conductivity and system performance.- Membrane design for water management in anion exchange systems: Advanced membrane designs can significantly improve water management in anion exchange systems. These designs focus on optimizing the membrane structure to control water transport while maintaining ion conductivity. Features such as hydrophilic/hydrophobic balance, controlled porosity, and specialized surface treatments help regulate water content within the membrane, preventing both dehydration and flooding. These design improvements lead to more stable and efficient anion exchange membrane systems with enhanced durability under varying operating conditions.
- Humidification control systems for anion exchange membranes: Humidification control systems are essential for maintaining optimal water content in anion exchange membrane systems. These systems incorporate sensors, controllers, and humidifiers to monitor and adjust moisture levels in real-time. Advanced humidification strategies include dynamic response to operating conditions, temperature-dependent moisture control, and differential humidification across membrane sections. Proper humidification prevents membrane degradation while ensuring consistent ionic conductivity, leading to improved system performance and extended operational lifetime.
- Water transport mechanisms in anion exchange membrane systems: Understanding water transport mechanisms is crucial for effective water management in anion exchange membrane systems. Water movement occurs through various processes including electro-osmotic drag, back-diffusion, and hydraulic permeation. The balance between these mechanisms determines the water distribution within the membrane and affects ion conductivity. Research focuses on characterizing these transport phenomena under different operating conditions and developing models to predict water behavior, enabling more effective system design and operation strategies.
- Integration of water recovery and recycling systems: Water recovery and recycling systems can be integrated with anion exchange membrane technologies to improve overall water management efficiency. These systems capture, purify, and recirculate water within the process, reducing water consumption and waste discharge. Advanced water recovery approaches include condensation systems, water separation membranes, and closed-loop configurations. The integration of these systems not only improves water utilization but also helps maintain optimal membrane hydration levels, enhancing system performance and sustainability.
- Additives and coatings for water retention improvement: Specialized additives and coatings can enhance water retention properties of anion exchange membranes. These materials include hydrophilic polymers, hygroscopic compounds, and composite structures that help maintain appropriate water content within the membrane. Surface modifications and functional coatings can create optimized interfaces for water management while preserving ion exchange capabilities. These approaches help stabilize membrane performance under varying humidity conditions, reduce sensitivity to environmental changes, and extend operational lifetime of anion exchange membrane systems.
02 Water transport mechanisms in anion exchange systems
Understanding and controlling water transport mechanisms is essential in anion exchange membrane systems. This includes managing water diffusion, electro-osmotic drag, and hydraulic permeation across the membrane. By optimizing these transport mechanisms, the system can maintain proper hydration levels for ion conductivity while preventing flooding or dry-out conditions that would impair performance.Expand Specific Solutions03 Humidification control systems
Humidification control systems are implemented to regulate the moisture content in anion exchange membrane systems. These systems may include sensors, humidifiers, condensers, and control algorithms that monitor and adjust water levels in real-time. Proper humidification control ensures optimal membrane conductivity while preventing excessive water accumulation that could lead to flooding and performance degradation.Expand Specific Solutions04 Water removal and recovery techniques
Various techniques are employed for water removal and recovery in anion exchange membrane systems. These include condensation systems, water traps, wicking materials, and specialized flow field designs. Effective water removal prevents flooding while water recovery systems can recycle water for reuse, improving system efficiency and reducing water consumption in continuous operation.Expand Specific Solutions05 Integration of water management with overall system design
Water management in anion exchange membrane systems is integrated with the overall system design, including flow field architecture, operating conditions, and thermal management. This holistic approach considers how water distribution affects other system components and processes. By coordinating water management with other system parameters, such as temperature control and reactant distribution, the overall performance and durability of anion exchange membrane systems can be optimized.Expand Specific Solutions
Leading Companies and Research Institutions in AEM Technology
The water management strategies in anion exchange membrane systems market is in a growth phase, with increasing adoption across industrial applications. The market size is expanding due to rising demand for efficient water treatment solutions, particularly in regions facing water scarcity. Technologically, the field shows varying maturity levels among key players. Companies like Tokuyama Corp. and Nitto Denko lead with advanced membrane technologies, while Organo Corp. and Evoqua Water Technologies demonstrate strong commercial implementation. Research institutions including KIST, Tokyo Institute of Technology, and Delft University are driving innovation through fundamental research. Emerging players like Verdagy and Enapter are introducing disruptive approaches, particularly in green hydrogen applications where anion exchange membranes show promise for sustainable water management.
Evonik Operations GmbH
Technical Solution: Evonik has developed advanced anion exchange membrane (AEM) systems utilizing their proprietary Creavis technology platform. Their water management strategy focuses on optimized membrane morphology with precisely controlled hydrophilic/hydrophobic balance to maintain proper water distribution. The company employs quaternary ammonium functional groups with tailored side chains that facilitate water transport while minimizing excessive swelling. Their membranes incorporate reinforcement structures that provide mechanical stability while allowing controlled water permeation. Evonik's approach includes specialized coating technologies that create hydration gradients across the membrane, ensuring efficient ion transport without flooding. Their systems also feature integrated water recovery mechanisms that capture and redistribute water molecules, significantly reducing water consumption in electrolysis applications.
Strengths: Superior chemical stability in alkaline environments, excellent mechanical durability under varying hydration conditions, and proprietary manufacturing techniques that enable precise control of membrane properties. Weaknesses: Higher production costs compared to conventional membranes, and potential performance limitations in extremely low humidity environments.
Verdagy Inc.
Technical Solution: Verdagy has developed an innovative water management approach for their large-format AEM electrolysis systems. Their strategy centers on a proprietary membrane architecture that incorporates hydrophilic nanochannels within a robust hydrocarbon framework, enabling precise control of water transport. The company utilizes dynamic feed water distribution systems that adjust flow rates and pressure differentials across the membrane in response to operating conditions. Their membranes feature specialized ion-conducting groups with optimized spacing that facilitates water retention in critical reaction zones while preventing excessive swelling. Verdagy's system includes advanced computational fluid dynamics modeling that predicts and mitigates potential dehydration or flooding scenarios in real-time. Their technology has demonstrated water consumption reductions of approximately 25% compared to conventional alkaline electrolyzers while maintaining comparable performance metrics.
Strengths: Highly efficient water utilization in large-scale industrial applications, robust performance under variable operating conditions, and advanced system integration capabilities. Weaknesses: Relatively newer technology with limited long-term operational data, and higher initial capital investment requirements.
Key Patents and Innovations in AEM Water Transport
Thin-film composite membrane for co 2 electrolysis
PatentWO2024076233A1
Innovation
- A thin-film composite membrane (TFCM) is developed, comprising a semipermeable ion exchange membrane substrate with a dense polymeric layer for size exclusion, preventing carbonate and bicarbonate passage, and utilizing a bifunctional polyamide layer for enhanced ion exchange and size exclusion, reducing CO2 loss to below 40% and eliminating the need for expensive catalysts like Ir.
Anion-exchange membrane and manufacturing method therefor
PatentPendingEP4559955A1
Innovation
- The development of an anion-exchange membrane featuring a porous polymer support with a crosslinked anion-exchange polymer uniformly distributed on its surface and within its pores, utilizing a crosslinkable monomer represented by Formula 1, which enhances ion exchange capacity and chemical resistance.
Environmental Impact of AEM Water Management Solutions
The environmental implications of water management strategies in anion exchange membrane (AEM) systems extend far beyond operational efficiency, encompassing broader ecological considerations. Current AEM water management solutions demonstrate significant potential for reducing environmental footprints compared to conventional technologies. The elimination of noble metal catalysts in AEM systems substantially decreases the extraction of rare earth materials, thereby reducing habitat destruction and ecosystem disruption associated with mining activities.
Water consumption patterns in AEM systems represent another critical environmental dimension. Advanced water recycling mechanisms integrated into modern AEM designs have achieved water reuse rates of up to 85-90%, dramatically reducing freshwater withdrawal requirements. This conservation aspect becomes increasingly valuable in water-stressed regions where industrial water competition threatens both ecological systems and human communities.
Carbon emissions associated with AEM water management solutions show promising reductions compared to traditional alternatives. Life cycle assessments indicate that optimized AEM systems can achieve 30-45% lower greenhouse gas emissions when accounting for manufacturing, operation, and end-of-life disposal. This advantage stems primarily from reduced energy requirements for water processing and the elimination of energy-intensive regeneration cycles common in conventional ion exchange systems.
Waste stream characteristics from AEM water management processes present both challenges and opportunities. The concentrated reject streams typically contain elevated levels of ions that require proper management to prevent environmental contamination. However, emerging technologies for selective ion recovery from these streams are transforming potential pollutants into valuable resources, creating circular economy opportunities while minimizing discharge impacts.
Biodegradability concerns persist regarding membrane materials used in AEM systems. Current generation membranes typically utilize fluorinated polymers with extended environmental persistence. Research into bio-based and biodegradable membrane materials shows promise, with several prototype materials demonstrating comparable performance while reducing environmental persistence from centuries to decades or less.
The chemical footprint of AEM water management extends to considerations of cleaning agents and membrane preservatives. Recent innovations have introduced biologically derived cleaning compounds that maintain performance standards while reducing aquatic toxicity by 60-75% compared to traditional chemical cleaners. These developments align with growing regulatory pressure for reduced environmental impact across industrial processes.
Water consumption patterns in AEM systems represent another critical environmental dimension. Advanced water recycling mechanisms integrated into modern AEM designs have achieved water reuse rates of up to 85-90%, dramatically reducing freshwater withdrawal requirements. This conservation aspect becomes increasingly valuable in water-stressed regions where industrial water competition threatens both ecological systems and human communities.
Carbon emissions associated with AEM water management solutions show promising reductions compared to traditional alternatives. Life cycle assessments indicate that optimized AEM systems can achieve 30-45% lower greenhouse gas emissions when accounting for manufacturing, operation, and end-of-life disposal. This advantage stems primarily from reduced energy requirements for water processing and the elimination of energy-intensive regeneration cycles common in conventional ion exchange systems.
Waste stream characteristics from AEM water management processes present both challenges and opportunities. The concentrated reject streams typically contain elevated levels of ions that require proper management to prevent environmental contamination. However, emerging technologies for selective ion recovery from these streams are transforming potential pollutants into valuable resources, creating circular economy opportunities while minimizing discharge impacts.
Biodegradability concerns persist regarding membrane materials used in AEM systems. Current generation membranes typically utilize fluorinated polymers with extended environmental persistence. Research into bio-based and biodegradable membrane materials shows promise, with several prototype materials demonstrating comparable performance while reducing environmental persistence from centuries to decades or less.
The chemical footprint of AEM water management extends to considerations of cleaning agents and membrane preservatives. Recent innovations have introduced biologically derived cleaning compounds that maintain performance standards while reducing aquatic toxicity by 60-75% compared to traditional chemical cleaners. These developments align with growing regulatory pressure for reduced environmental impact across industrial processes.
Standardization and Testing Protocols for AEM Water Management
Standardization of water management protocols in anion exchange membrane (AEM) systems represents a critical frontier for advancing this technology toward commercial viability. Currently, the field suffers from significant inconsistencies in testing methodologies, making cross-study comparisons challenging and hindering technological progress. A comprehensive standardization framework must address multiple aspects of water transport and retention within these systems.
The development of standardized in-situ water content measurement techniques stands as a primary requirement. Techniques such as neutron imaging, magnetic resonance imaging, and electrochemical impedance spectroscopy need clearly defined protocols that specify operating conditions, calibration procedures, and data interpretation methodologies. These standardized approaches would enable researchers to generate comparable datasets across different laboratory environments.
Ex-situ characterization methods also require standardization, particularly for measuring water uptake, swelling ratios, and dimensional stability. Current practices vary widely in terms of sample preparation, equilibration times, and measurement conditions, leading to significant data variability. Establishing uniform protocols for temperature, humidity, and measurement timing would substantially improve reproducibility.
Dynamic water management testing represents another critical area requiring standardization. Protocols must be developed to evaluate membrane performance under transient conditions, including startup/shutdown cycles, load changes, and temperature fluctuations. These tests should quantify water redistribution rates and membrane response times to changing conditions, providing insights into real-world operational resilience.
Accelerated durability testing protocols specifically focused on water management aspects need standardization as well. These should evaluate how repeated hydration/dehydration cycles affect membrane performance and structural integrity over time. Standardized protocols would enable meaningful lifetime predictions and facilitate the development of more durable materials.
Computational modeling validation standards represent the final piece of this standardization puzzle. As simulation becomes increasingly important for AEM development, establishing benchmark datasets and validation methodologies is essential. These standards should define minimum requirements for model validation against experimental data and specify which water transport phenomena must be accurately captured.
Implementation of these standardized protocols would significantly accelerate AEM technology development by enabling meaningful comparisons between different materials and designs. Furthermore, they would provide clear metrics for evaluating progress toward commercial performance targets and guide future research directions in this promising field.
The development of standardized in-situ water content measurement techniques stands as a primary requirement. Techniques such as neutron imaging, magnetic resonance imaging, and electrochemical impedance spectroscopy need clearly defined protocols that specify operating conditions, calibration procedures, and data interpretation methodologies. These standardized approaches would enable researchers to generate comparable datasets across different laboratory environments.
Ex-situ characterization methods also require standardization, particularly for measuring water uptake, swelling ratios, and dimensional stability. Current practices vary widely in terms of sample preparation, equilibration times, and measurement conditions, leading to significant data variability. Establishing uniform protocols for temperature, humidity, and measurement timing would substantially improve reproducibility.
Dynamic water management testing represents another critical area requiring standardization. Protocols must be developed to evaluate membrane performance under transient conditions, including startup/shutdown cycles, load changes, and temperature fluctuations. These tests should quantify water redistribution rates and membrane response times to changing conditions, providing insights into real-world operational resilience.
Accelerated durability testing protocols specifically focused on water management aspects need standardization as well. These should evaluate how repeated hydration/dehydration cycles affect membrane performance and structural integrity over time. Standardized protocols would enable meaningful lifetime predictions and facilitate the development of more durable materials.
Computational modeling validation standards represent the final piece of this standardization puzzle. As simulation becomes increasingly important for AEM development, establishing benchmark datasets and validation methodologies is essential. These standards should define minimum requirements for model validation against experimental data and specify which water transport phenomena must be accurately captured.
Implementation of these standardized protocols would significantly accelerate AEM technology development by enabling meaningful comparisons between different materials and designs. Furthermore, they would provide clear metrics for evaluating progress toward commercial performance targets and guide future research directions in this promising field.
Unlock deeper insights with Patsnap Eureka Quick Research — get a full tech report to explore trends and direct your research. Try now!
Generate Your Research Report Instantly with AI Agent
Supercharge your innovation with Patsnap Eureka AI Agent Platform!







